Recombinant SOX17 Monoclonal Antibody (AN301960L)
For research use only.
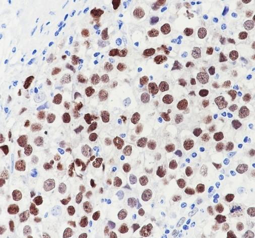
| Verified Samples |
Verified Samples in WB: HeLa (Low expression), SK-OV-3 Verified Samples in IHC: Human seminoma |
| Dilution | WB 1:1000-1:2000, IHC 1:100-1:200 |
| Isotype | IgG, κ |
| Host | Rabbit |
| Reactivity | Human, |
| Applications | WB, IHC |
| Clonality | Monoclonal;Recombinant |
| Immunogen | Recombinant human SOX17 fragment |
| Abbre | SOX17 |
| Synonyms | VUR, SOX, VUR3, SOX17 |
| Swissprot | |
| Calculated MW | 55 kDa |
| Observed MW |
55 kDa
Western blotting is a method for detecting a certain protein in a complex sample based on the specific binding of antigen and antibody. Different proteins can be divided into bands based on different mobility rates. The mobility is affected by many factors, which may cause the observed band size to be inconsistent with the expected size. The common factors include: 1. Post-translational modifications: For example, modifications such as glycosylation, phosphorylation, methylation, and acetylation will increase the molecular weight of the protein. 2. Splicing variants: Different expression patterns of various mRNA splicing bodies may produce proteins of different sizes. 3. Post-translational cleavage: Many proteins are first synthesized into precursor proteins and then cleaved to form active forms, such as COL1A1. 4. Relative charge: the composition of amino acids (the proportion of charged amino acids and uncharged amino acids). 5. Formation of multimers: For example, in protein dimer, strong interactions between proteins can cause the bands to be larger. However, the use of reducing conditions can usually avoid the formation of multimers. If a protein in a sample has different modified forms at the same time, multiple bands may be detected on the membrane. |
| Cellular Localization | Nucleus |
| Concentration | 1 mg/mL |
| Buffer | PBS, 50% glycerol, 0.05% Proclin 300, 0.05% protein protectant. |
| Purification Method | Protein A purified |
| Research Areas | Epigenetics and Nuclear Signaling, Stem Cells, Developmental Biology |
| Clone No. | A676 |
| Conjugation | Unconjugated |
| Storage | Store at -20°C Valid for 12 months. Avoid freeze / thaw cycles. |
| Shipping | Ice bag |
| background | SRY-related high mobility group box (SOX) proteins comprise a large family of widely conserved transcription factors. SOX proteins do not directly mediate transcription, but require binding partners that regulate their ability to mediate transcription of target genes that control cell fate determination and development .Transcription factor Sox17 is a Sox family protein with an established role in endoderm specification during development. In addition, Sox17 plays essential roles in the maintenance of the hematopoietic stem cell pool and for vascular morphogenesis during development. Sox17 negatively regulates oligodendrocyte precursor differentiation by antagonizing β-catenin signaling. Mutation in the corresponding Sox17 gene in humans is associated with a form of vesicoureteral reflux, a disorder characterized by congenital kidney and urinary tract defects. |
Other Clones
{{antibodyDetailsPage.numTotal}} Results
-
{{item.title}}
Citations ({{item.publications_count}}) Manual MSDS
Cat.No.:{{item.cat}}
{{index}} {{goods_show_value}}
Other Formats
{{formatDetailsPage.numTotal}} Results
Unconjugated
-
{{item.title}}
Citations ({{item.publications_count}}) Manual MSDS
Cat.No.:{{item.cat}}
{{index}} {{goods_show_value}}
-
IF:{{item.impact}}
Journal:{{item.journal}} ({{item.year}})
DOI:{{item.doi}}Reactivity:{{item.species}}
Sample Type:{{item.sample_type}}
-
Q{{(FAQpage.currentPage - 1)*pageSize+index+1}}:{{item.name}}

