Recombinant STIP1/STI1 Monoclonal Antibody (AN301667L)
-
-
-
- +4
For research use only.
| Verified Samples |
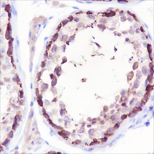
Verified Samples in WB: HeLa, Jurkat, HepG2, Neuro-2a, Raw264.7, Mouse brain, Rat brain Verified Samples in IHC: Human testis, Rat testis Verified Samples in IF: HeLa, Neuro-2a Verified Samples in FCM: HeLa Verified Samples in IP: Jurkat cells extracts |
| Dilution | WB 1:500-1:2000, IHC 1:200-1:1000, IF 1:100-1:500, FCM 1:50-1:100, IP 1:50-1:100 |
| Isotype | IgG, κ |
| Host | Rabbit |
| Reactivity | Human, Rat, Mouse |
| Applications | WB, IHC, IF, FCM, IP |
| Clonality | Monoclonal;Recombinant |
| Immunogen | Recombinant human STIP1/STI1 fragment |
| Abbre | STIP1/STI1 |
| Synonyms | STI, STIP, IEF-SSP, STIP1, HEL-S-94n, HOP, IEF-SSP-3521, P60, STI1, STI1L, stress induced phosphoprotein 1 |
| Swissprot | |
| Calculated MW | 63 kDa |
| Observed MW |
63 kDa
Western blotting is a method for detecting a certain protein in a complex sample based on the specific binding of antigen and antibody. Different proteins can be divided into bands based on different mobility rates. The mobility is affected by many factors, which may cause the observed band size to be inconsistent with the expected size. The common factors include: 1. Post-translational modifications: For example, modifications such as glycosylation, phosphorylation, methylation, and acetylation will increase the molecular weight of the protein. 2. Splicing variants: Different expression patterns of various mRNA splicing bodies may produce proteins of different sizes. 3. Post-translational cleavage: Many proteins are first synthesized into precursor proteins and then cleaved to form active forms, such as COL1A1. 4. Relative charge: the composition of amino acids (the proportion of charged amino acids and uncharged amino acids). 5. Formation of multimers: For example, in protein dimer, strong interactions between proteins can cause the bands to be larger. However, the use of reducing conditions can usually avoid the formation of multimers. If a protein in a sample has different modified forms at the same time, multiple bands may be detected on the membrane. |
| Cellular Localization | Cytoplasm, Nucleus |
| Concentration | 1 mg/mL |
| Buffer | PBS, 50% glycerol, 0.05% Proclin 300, 0.05% protein protectant. |
| Purification Method | Protein A purified |
| Research Areas | Signal Transduction |
| Clone No. | A370 |
| Conjugation | Unconjugated |
| Storage | Store at -20°C Valid for 12 months. Avoid freeze / thaw cycles. |
| Shipping | Ice bag |
| background | Acts as a co-chaperone for HSP90AA1. Mediates the association of the molecular chaperones HSPA8/HSC70 and HSP90. |
Other Clones
{{antibodyDetailsPage.numTotal}} Results
-
{{item.title}}
Citations ({{item.publications_count}}) Manual MSDS
Cat.No.:{{item.cat}}
{{index}} {{goods_show_value}}
Other Formats
{{formatDetailsPage.numTotal}} Results
Unconjugated
-
{{item.title}}
Citations ({{item.publications_count}}) Manual MSDS
Cat.No.:{{item.cat}}
{{index}} {{goods_show_value}}
-
IF:{{item.impact}}
Journal:{{item.journal}} ({{item.year}})
DOI:{{item.doi}}Reactivity:{{item.species}}
Sample Type:{{item.organization}}
-
Q{{(FAQpage.currentPage - 1)*pageSize+index+1}}:{{item.name}}

