Recombinant TFF1/pS2 Monoclonal Antibody (AN301892L)
For research use only.
| Verified Samples |
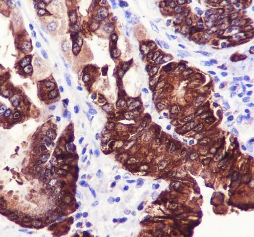
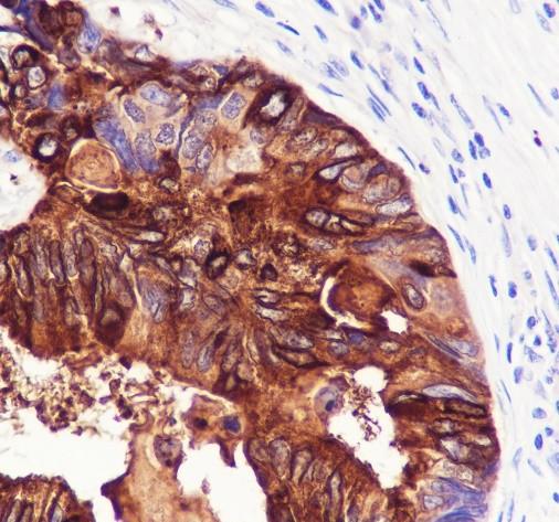
Verified Samples in WB: MDA-MB-231(Negative control), MCF-7 Verified Samples in IHC: Human colon cancer, Human stomach |
| Dilution | WB 1:500-1:2000, IHC 1:50-1:100 |
| Isotype | IgG, κ |
| Host | Rabbit |
| Reactivity | Human, |
| Applications | WB, IHC |
| Clonality | Monoclonal;Recombinant |
| Immunogen | Recombinant human TFF1/pS2 fragment |
| Abbre | TFF1/pS2 |
| Synonyms | TFF, pNR, HPS, D21S, Protein Ps, Trefoil factor, TFF1, BCEI, D21S21, HP1.A, HPS2, pNR-2, pS2, Breast cancer estrogen-inducible protein, Polypeptide P1.A, Protein Ps2, Trefoil factor 1 |
| Swissprot | |
| Calculated MW | 10 kDa |
| Observed MW |
13 kDa
The actual band is not consistent with the expectation.
Western blotting is a method for detecting a certain protein in a complex sample based on the specific binding of antigen and antibody. Different proteins can be divided into bands based on different mobility rates. The mobility is affected by many factors, which may cause the observed band size to be inconsistent with the expected size. The common factors include: 1. Post-translational modifications: For example, modifications such as glycosylation, phosphorylation, methylation, and acetylation will increase the molecular weight of the protein. 2. Splicing variants: Different expression patterns of various mRNA splicing bodies may produce proteins of different sizes. 3. Post-translational cleavage: Many proteins are first synthesized into precursor proteins and then cleaved to form active forms, such as COL1A1. 4. Relative charge: the composition of amino acids (the proportion of charged amino acids and uncharged amino acids). 5. Formation of multimers: For example, in protein dimer, strong interactions between proteins can cause the bands to be larger. However, the use of reducing conditions can usually avoid the formation of multimers. If a protein in a sample has different modified forms at the same time, multiple bands may be detected on the membrane. |
| Cellular Localization | Secreted |
| Concentration | 1 mg/mL |
| Buffer | PBS, 50% glycerol, 0.05% Proclin 300, 0.05% protein protectant. |
| Purification Method | Protein A purified |
| Research Areas | Signal Transduction |
| Clone No. | A608 |
| Conjugation | Unconjugated |
| Storage | Store at -20°C Valid for 12 months. Avoid freeze / thaw cycles. |
| Shipping | Ice bag |
| background | TFF1/pS2 is a gastric peptide that is highly expressed by mucosal goblet cells of the stomach, where it is thought to play a role in maintaining the integrity of the epithelial layer of the mucosa through the regulation of cell-cell adhesion and cell migration. Research studies have shown that TFF1 functions as a tumor suppressor in the stomach as its expression is frequently lost in gastric carcinomas, largely due to promoter hypermethylation. Research studies have also demonstrated that TFF1 is a transcriptional target of estrogen receptor-α and that TFF1 expression in breast carcinoma may be used as a predictive biomarker for response to anti-estrogen therapy. |
Other Clones
{{antibodyDetailsPage.numTotal}} Results
-
{{item.title}}
Citations ({{item.publications_count}}) Manual MSDS
Cat.No.:{{item.cat}}
{{index}} {{goods_show_value}}
Other Formats
{{formatDetailsPage.numTotal}} Results
Unconjugated
-
{{item.title}}
Citations ({{item.publications_count}}) Manual MSDS
Cat.No.:{{item.cat}}
{{index}} {{goods_show_value}}
-
IF:{{item.impact}}
Journal:{{item.journal}} ({{item.year}})
DOI:{{item.doi}}Reactivity:{{item.species}}
Sample Type:{{item.sample_type}}
-
Q{{(FAQpage.currentPage - 1)*pageSize+index+1}}:{{item.name}}

