RMDN2 Polyclonal Antibody (E-AB-19019)
Add to cart
For research use only.
| Verified Samples |
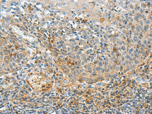
Verified Samples in IHC: Human cervical cancer, Human tonsil |
| Dilution | IHC 1:50-1:300 |
| Isotype | IgG |
| Host | Rabbit |
| Reactivity | Human, Mouse, Rat |
| Applications | IHC |
| Clonality | Polyclonal |
| Immunogen | Fusion protein of human RMDN2 |
| Abbre | RMDN2 |
| Synonyms | member A1, BLOCK18, FAM82A, FLJ32954 , FLJ38143, Fam82a1, Family with sequence similarity 82, Family with sequence similarity 82 member A, MGC33318, Microtubule associated protein, PRO34163, PYST9371, Protein FAM82A1, Regulator of microtubu, hRMD 2, hRMD 4, hRMD-2, hRMD4 |
| Swissprot | |
| Cellular Localization | Membrane. Cytoplasm. Cytoplasm>cytoskeleton>spindle. Cytoplasm>cytoskeleton>spindle pole. In interphase localizes in the cytoplasm, and during mitosis localizes to the spindle microtubules and spindle poles. Also detected as large dots in the perinuclear region. |
| Concentration | 1.2 mg/mL |
| Buffer | Phosphate buffered solution, pH 7.4, containing 0.05% stabilizer and 50% glycerol. |
| Purification Method | Antigen affinity purification |
| Research Areas | Cell Biology |
| Conjugation | Unconjugated |
| Storage | Store at -20°C Valid for 12 months. Avoid freeze / thaw cycles. |
| Shipping | The product is shipped with ice pack,upon receipt,store it immediately at the temperature recommended. |
| background | The human protein FAM82A1, also known as regulator of microtubule dynamics 2 (RMD2), was one of three proteins identified as related to a family of microtubule-associated proteins in C. elegans. FAM82A1 contains multiple coiled-coil domains and localize to the spindle microtubules and spindle poles during cell division. During interphase, RMD2 localizes to the cytoplasm with protein observed in the microtubule lattice and perinuclear region. |
| Cat.No. | Product Name | Clone No. |
|---|
-
IF:{{item.impact}}
Journal:{{item.journal}} ({{item.year}})
DOI:{{item.doi}}Reactivity:{{item.species}}
Sample Type:{{item.sample_type}}
-
Q{{(FAQpage.currentPage - 1)*pageSize+index+1}}:{{item.name}}
No files available. Please enter the correct identification code in the search area to query the relevant documents.
| Title | Status | Valid until | Action | |
|---|---|---|---|---|
| {{v.文件名}} | {{v.status_str}} | {{v.timestamp_str}} | Download | / |
*Note:Please download the relevant files within the validity period. After expiration, file preview and download will not be available on the page.

