SerpinD1 Monoclonal Antibody (AN200099P)
                        For research use only.
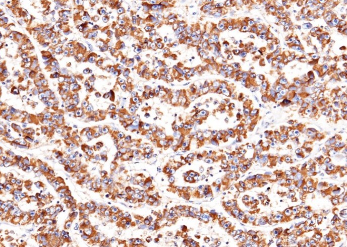
| Verified Samples | Verified Samples in IHC: Human liver, Human hepatoma | 
| Dilution | IHC-P 1:50-1:200, | 
| Isotype | IgG1 | 
| Host | Mouse | 
| Reactivity | Human | 
| Applications | IHC-P | 
| Clonality | Monoclonal | 
| Immunogen | Recombinant Human SerpinD1 protein | 
| Abbre | SerpinD1 | 
| Synonyms | HCF, SERPIND, HCF2, SERPIND1, D22S673, HC2, HCII, HLS2, LS2, THPH10 | 
| Swissprot | |
| Concentration | 1 mg/mL | 
| Buffer | 0.2 μm filtered solution in PBS | 
| Purification Method | Protein A | 
| Research Areas | Cardiovascular | 
| Clone No. | A947 | 
| Conjugation | Unconjugated | 
| Storage | This antibody can be stored at 2℃-8℃ for one month without detectable loss of activity. Antibody products are stable for twelve months from date of receipt when stored at -20℃ to -80℃. Preservative-Free. Avoid repeated freeze-thaw cycles. | 
| Shipping | Ice bag | 
| background | SerpinD1, also known as heparin cofactor II, is a member of Serpin superfamily of the serine proteinase inhibitors. HCII is a glycoprotein in human plasma that inhibits thrombin and chymotrypsin, and the rate of inhibition of thrombin is rapidly increased by Dermatan sulfate (DS), heparin (H) and glycosaminoglycans(GAG). The stimulatory effect of glycosaminoglycans on the inhibition is mediated, in part, by the N-terminal acidic domain of HCII. Interestingly, a C-terminal His-tagged recombinant HCII exhibits enhanced activity of thrombin inhibition. It has been suggested that HCII plays an unique and important role in vascular homeostasis, and accordingly mutations in this gene or congenital HCII deficiency is potentially associated with thrombosis. HCII specifically inhibits thrombin action at the site of vascular wall injury and HCII-thrombin complexes have been detected in human plasma. HCII protects against thrombin-induced vascular remodeling in both humans and mice and HCII is a predictive biomarker and therapeutic target for atherosclerosis. SerpinD1 also inhibits chymotrypsin, but in a glycosaminoglycan-independent manner. | 
Other Clones
{{antibodyDetailsPage.numTotal}} Results
- 
                                    
                                    
                                    {{item.title}}
                                    
Citations ({{item.publications_count}}) Manual MSDS
Cat.No.:{{item.cat}}
{{index}} {{goods_show_value}}
 
Other Formats
{{formatDetailsPage.numTotal}} Results
Unconjugated
- 
                                    
                                    
                                    {{item.title}}
                                    
Citations ({{item.publications_count}}) Manual MSDS
Cat.No.:{{item.cat}}
{{index}} {{goods_show_value}}
 
- 
                                    
                                    
IF:{{item.impact}}
Journal:{{item.journal}} ({{item.year}})
DOI:{{item.doi}}Reactivity:{{item.species}}
Sample Type:{{item.organization}}
 
- 
                                    
Q{{(FAQpage.currentPage - 1)*pageSize+index+1}}:{{item.name}}
 
                            
