SLC4A4 Polyclonal Antibody (E-AB-14348)
Add to cart
For research use only.
| Verified Samples |
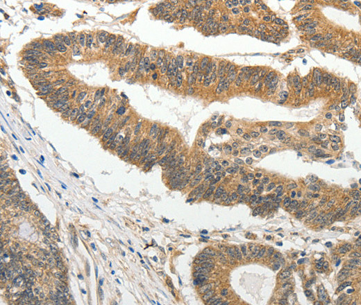
Verified Samples in IHC: Human brain, Human colon cancer |
| Dilution | IHC 1:50-1:200 |
| Isotype | IgG |
| Host | Rabbit |
| Reactivity | Human, Mouse, Rat |
| Applications | IHC |
| Clonality | Polyclonal |
| Immunogen | Recombinant protein of human SLC4A4 |
| Abbre | SLC4A4 |
| Synonyms | DKFZp781H1314, Electrogenic sodium bicarbonate cotransporter 1, HNBC 1, HNBC1, KNBC, NBC 1, NBC 2, NBC1, NBC2, NBCE 1, NBCE1, Na(+)/HCO3(-) cotransporter, Na+HCO3- cotransporter 4, Nbc4, OTTHUMP00000160355, OTTHUMP00000218884, OTTHUMP00000218885, PNBC, S, hhNMC, kNBC 1, kNBC1 |
| Swissprot | |
| Cellular Localization | Basolateral cell membrane. |
| Concentration | 0.4 mg/mL |
| Buffer | Phosphate buffered solution, pH 7.4, containing 0.05% stabilizer and 50% glycerol. |
| Purification Method | Affinity purification |
| Research Areas | Cancer, Metabolism, Neuroscience, Signal Transduction |
| Conjugation | Unconjugated |
| Storage | Store at -20°C Valid for 12 months. Avoid freeze / thaw cycles. |
| Shipping | The product is shipped with ice pack,upon receipt,store it immediately at the temperature recommended. |
| background | This gene encodes a sodium bicarbonate cotransporter (NBC) involved in the regulation of bicarbonate secretion and absorption and intracellular pH. Mutations in this gene are associated with proximal renal tubular acidosis. Multiple transcript variants encoding different isoforms have been found for this gene. Sodium bicarbonate cotransporters (NBCs) mediate the coupled movement of sodium and bicarbonate ions across the plasma membrane of many cells. This is an electrogenic process with an apparent stoichiometry of 3 bicarbonate ions per sodium ion. Sodium bicarbonate cotransport is involved in bicarbonate secretion/absorption and intracellular pH regulation. Romero and Boron (1999) reviewed NBCs. Soleimani and Burnham (2000) reviewed NBCs and their regulation in physiologic and pathophysiologic states. |
| Cat.No. | Product Name | Clone No. |
|---|
-
IF:{{item.impact}}
Journal:{{item.journal}} ({{item.year}})
DOI:{{item.doi}}Reactivity:{{item.species}}
Sample Type:{{item.sample_type}}
-
Q{{(FAQpage.currentPage - 1)*pageSize+index+1}}:{{item.name}}
No files available. Please enter the correct identification code in the search area to query the relevant documents.
| Title | Status | Valid until | Action | |
|---|---|---|---|---|
| {{v.文件名}} | {{v.status_str}} | {{v.timestamp_str}} | Download | / |
*Note:Please download the relevant files within the validity period. After expiration, file preview and download will not be available on the page.

