TGFB1 Monoclonal Antibody (E-AB-22214)
Add to cart
For research use only.
| Verified Samples |
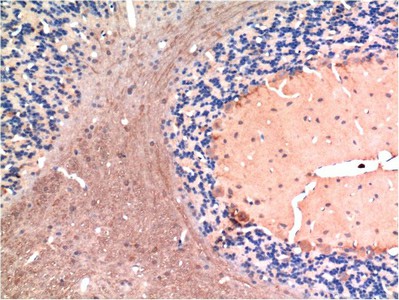
Verified Samples in IHC: Mouse liver, Rat brain |
| Dilution | IHC 1:100-200 |
| Isotype | IgG |
| Host | Mouse |
| Reactivity | Mouse, Rat |
| Applications | IHC-p |
| Clonality | Monoclonal |
| Immunogen | Synthetic Peptide of TGFβ1 |
| Abbre | TGFβ1 Mouse (5D2) |
| Synonyms | CED, Cartilage-inducing factor, DPD1, Differentiation inhibiting factor, LAP, Latency-associated peptide, Prepro transforming growth factor beta 1, TGF beta, TGF beta 1, TGF beta 1 protein, TGF-beta 1 protein, TGF-beta-1, TGF-beta-5, TGF-beta1, TGFB, TGFB1, Tgfb-1, tgfb1 |
| Swissprot | |
| Cellular Localization | Secreted>extracellular space>extracellular matrix. |
| Tissue Specificity | Highly expressed in bone. Abundantly expressed in articular cartilage and chondrocytes and is increased in osteoarthritis (OA). Co-localizes with ASPN in chondrocytes within OA lesions of articular cartilage. |
| Concentration | 1 mg/mL |
| Buffer | Phosphate buffered solution, pH 7.4, containing 0.05% stabilizer, 0.5% protein protectant and 50% glycerol. |
| Purification Method | Protein A purification |
| Research Areas | Cancer, Cardiovascular, Metabolism, Signal Transduction, Stem Cells |
| Clone | 5D2 |
| Conjugation | Unconjugated |
| Storage | Store at -20°C Valid for 12 months. Avoid freeze / thaw cycles. |
| Shipping | The product is shipped with ice pack,upon receipt,store it immediately at the temperature recommended. |
| background | Multifunctional protein that controls proliferation, differentiation and other functions in many cell types. Many cells synthesize TGFB1 and have specific receptors for it. It positively and negatively regulates many other growth factors. It plays an important role in bone remodeling as it is a potent stimulator of osteoblastic bone formation, causing chemotaxis, proliferation and differentiation in committed osteoblasts. Can promote either T-helper 17 cells (Th17) or regulatory T-cells (Treg) lineage differentiation in a concentration-dependent manner. At high concentrations, leads to FOXP3-mediated suppression of RORC and down-regulation of IL-17 expression, favoring Treg cell development. At low concentrations in concert with IL-6 and IL-21, leads to expression of the IL-17 and IL-23 receptors, favoring differentiation to Th17 cells. |
| Cat.No. | Product Name | Clone No. |
|---|
-
IF:{{item.impact}}
Journal:{{item.journal}} ({{item.year}})
DOI:{{item.doi}}Reactivity:{{item.species}}
Sample Type:{{item.sample_type}}
-
Q{{(FAQpage.currentPage - 1)*pageSize+index+1}}:{{item.name}}
No files available. Please enter the correct identification code in the search area to query the relevant documents.
| Title | Status | Valid until | Action | |
|---|---|---|---|---|
| {{v.文件名}} | {{v.status_str}} | {{v.timestamp_str}} | Download | / |
*Note:Please download the relevant files within the validity period. After expiration, file preview and download will not be available on the page.

