ZFYVE27 Polyclonal Antibody (E-AB-18989)

For research use only.
Verified Samples |
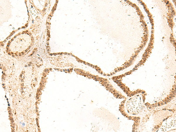
Verified Samples in IHC: Human thyroid cancer |
Dilution | IHC 1:50-1:300 |
Isotype | IgG |
Host | Rabbit |
Reactivity | Human, Mouse, Rat |
Applications | IHC |
Clonality | Polyclonal |
Immunogen | Fusion protein of human ZFYVE27 |
Abbre | ZFYVE27 |
Synonyms | Protrudin, RP11 459F3.2, SPG33 , ZFY27, ZFYVE27, Zinc finger FYVE domain containing protein 27 , Zinc finger FYVE domain-containing protein 27, zinc finger FYVE domain containing 27 |
Swissprot | |
Cellular Localization | Recycling endosome membrane. Endoplasmic reticulum membrane. Cell projection>growth cone membrane. Cell membrane. Localizes at both dendrites and axons. |
Concentration | 0.84 mg/mL |
Buffer | Phosphate buffered solution, pH 7.4, containing 0.05% stabilizer and 50% glycerol. |
Purification Method | Antigen affinity purification |
Research Areas | Neuroscience |
Conjugation | Unconjugated |
Storage | Store at -20°C Valid for 12 months. Avoid freeze / thaw cycles. |
Shipping | The product is shipped with ice pack,upon receipt,store it immediately at the temperature recommended. |
background | This gene encodes a protein with several transmembrane domains, a Rab11-binding domain and a lipid-binding FYVE finger domain. The encoded protein appears to promote neurite formation. A mutation in this gene has been reported to be associated with hereditary spastic paraplegia, however the pathogenicity of the mutation, which may simply represent a polymorphism, is unclear. |
Other Clones
{{antibodyDetailsPage.numTotal}} Results
-
{{item.title}}
Citations ({{item.publications_count}}) Manual MSDS
Cat.No.:{{item.cat}}
{{index}} {{goods_show_value}}
Other Formats
{{formatDetailsPage.numTotal}} Results
Unconjugated
-
{{item.title}}
Citations ({{item.publications_count}}) Manual MSDS
Cat.No.:{{item.cat}}
{{index}} {{goods_show_value}}
-
IF:{{item.impact}}
Journal:{{item.journal}} ({{item.year}})
DOI:{{item.doi}}Reactivity:{{item.species}}
Sample Type:{{item.organization}}
-
Q{{(FAQpage.currentPage - 1)*pageSize+index+1}}:{{item.name}}
